Rehabilitación Oral en Neiva

Restauración completa de función y estética

Soluciones completas para una sonrisa saludable y hermosa

En Odontosalud-P, ofrecemos tratamientos avanzados de rehabilitación oral para restaurar la función y apariencia de tu boca, utilizando materiales de alta calidad y técnicas modernas.

Tratamientos con Inteligencia Artificial

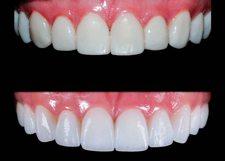
Sonrisas transformadoras

Experiencia indolora y cómoda.

Rápida recuperación para volver a tu rutina

Recupera tu Sonrisa con Rehabilitación Oral Completa

La Rehabilitación Oral es una especialidad enfocada en solucionar problemas que afectan tanto la funcionalidad como la estética bucal.

Este tratamiento abarca desde la sustitución de dientes ausentes hasta la restauración completa de la boca con coronas, puentes y laminillas dentales.

Play Video

Beneficios de la Rehabilitación Oral:

Materiales de Alta Calidad

Utilizamos zirconio y otros materiales biocompatibles para un aspecto natural y una mayor tolerancia.

Resultados Estéticos Superiores

Logramos una apariencia natural y armoniosa, devolviéndote la confianza de sonreír.

Soluciones Personalizadas

Tratamientos adaptados a las necesidades de cada paciente para resultados óptimos.

Mejora de la Función Bucal

Reemplazamos y restauramos dientes perdidos para mejorar la función masticatoria y la estabilidad dental.

Prevención de Futuras Complicaciones

Un enfoque preciso que previene problemas futuros.

Opciones de Rehabilitación Oral

Coronas en Zirconio

Ventajas: Las coronas de zirconio reemplazan las antiguas aleaciones de metal, siendo más biocompatibles y estéticas.

Estética Superior: Material blanco y translúcido que ofrece un aspecto natural y evita bordes grises en caso de retracción de la encía.

Laminillas Dentales

Función: Finas láminas de porcelana que cubren la superficie anterior de los dientes, perfectas para corregir color y forma.

Estética Ideal: Uniones duraderas que mejoran el aspecto de los dientes, sin posibilidad de remoción sin romper la carilla.

Puentes Dentales

Función: Reemplazo de uno o más dientes para evitar desplazamientos y problemas en la mordida.

Personalización: Diferentes materiales disponibles para puentes, adaptados a tus necesidades estéticas y funcionales.

Hotel Odontosalud-P

Transforma tu sonrisa y disfruta del hospedaje sin costo!

Este servicio adicional tiene como objetivo proporcionar la máxima comodidad y conveniencia a nuestros pacientes, permitiéndoles disfrutar de un alojamiento cercano y confortable durante su tratamiento.

Nos aseguramos de que cada detalle esté cuidado para que su experiencia con nosotros sea lo más placentera posible.

¿Cómo Funciona el Tratamiento?

01
02
03
04
1. Evaluación Inicial
Realizamos un examen completo para entender tus necesidades específicas.
2. Planeación Personalizada
Diseñamos un plan de tratamiento adaptadas a cada caso.
3. Procedimiento Guiado y Sin Dolor
Con la ayuda de IA, realizamos el procedimiento de manera precisa y sin dolor.
4. Seguimiento y Recuperación
Proporcionamos todas las instrucciones y cuidados necesarios para una recuperación rápida y efectiva.

Progama tu consulta

El precio de la consulta inicial es de $50.000 COP e incluye:

¿Aún tienes dudas sobre si elegir OdontoSalud-P?

Salud Dental vs. Clínicas tradicionales: la elección es clara

Clínicas Tradicionales

Mira lo que nuestros pacientes dicen sobre nosotros

Play Video
Edit Template
Play Video
Edit Template
Play Video
Edit Template
Play Video
Edit Template
Play Video
Edit Template
Play Video
Edit Template
Play Video
Edit Template
Play Video
Edit Template

Odontología sin Dolor

Sabemos que el temor al dentista es común, y es por eso que en Odontosalud-P hemos desarrollado un enfoque especializado en odontología sin dolor.

Utilizando la última tecnología en láser dental, eliminamos la necesidad de herramientas invasivas, lo que significa que puedes recibir el tratamiento que necesitas sin la incomodidad tradicional.

Play Video

Tecnología Dental de Vanguardia

La innovación es el corazón de nuestra práctica. Equipados con la tecnología digital dental más avanzada del mundo, ofrecemos diagnósticos precisos, planificación de tratamientos eficiente y resultados excepcionales.

Desde escaneos 3D hasta odontología láser, nuestra clínica está a la vanguardia de la transformación dental digital.

Experiencia Que Inspira Confianza

Con más de 30 años al servicio de la comunidad, nuestro equipo de especialistas dentales lleva la odontología a un nuevo nivel.

Comprometidos con la educación continua y el perfeccionamiento de habilidades, nos enorgullecemos de ser pioneros en tratamientos avanzados que garantizan los mejores resultados para nuestros pacientes.

Visita Nuestro Consultorio

Tu Sonrisa, Nuestro Compromiso

Experimenta la diferencia que un cuidado dental superior puede hacer en tu vida. ¡Visítanos y comienza el camino hacia la sonrisa perfecta que siempre has deseado!

CC San Pedro Plaza, 2do piso. Neiva, Huila, Colombia

Sede principal

Calle 17 No.5A-34 Barrio Quirinal Neiva, Huila, Colombia

Email

clinicaodontosalud_p@hotmail.com

2024 Odontosalud-p © Todo los derechos reservados

DIRECCIÓN

CC San Pedro Plaza, 2do piso. Neiva, Huila, Colombia